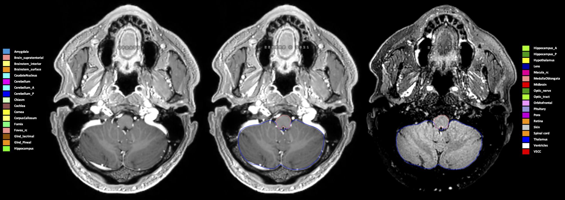
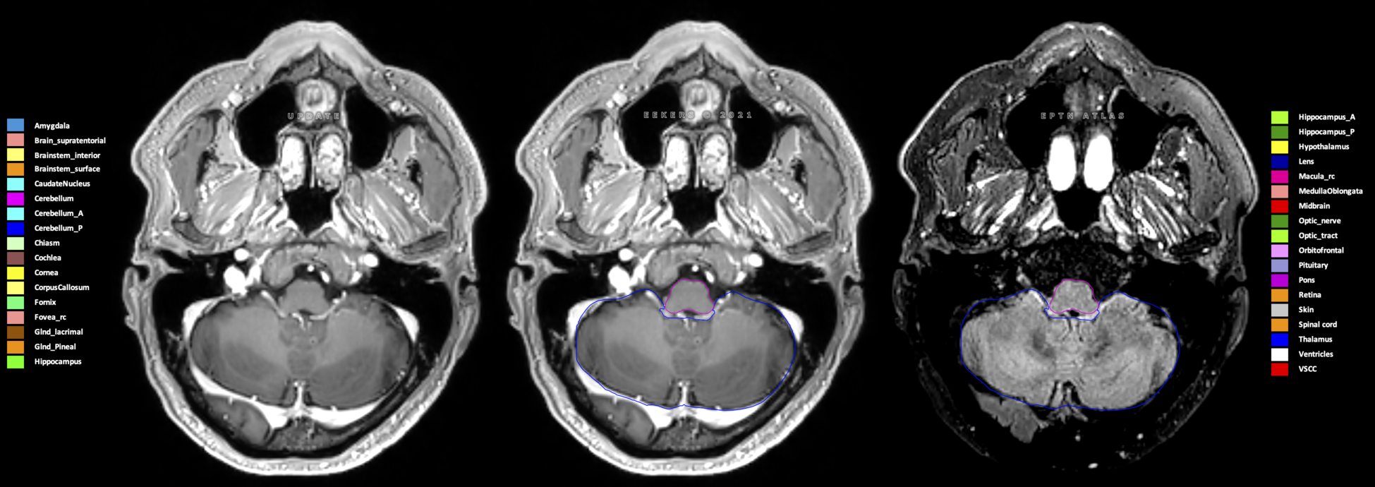
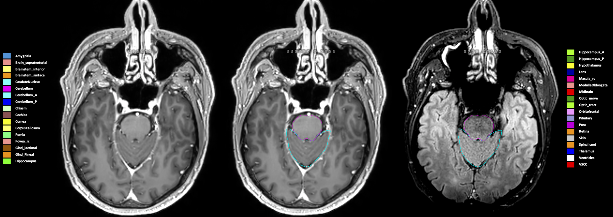
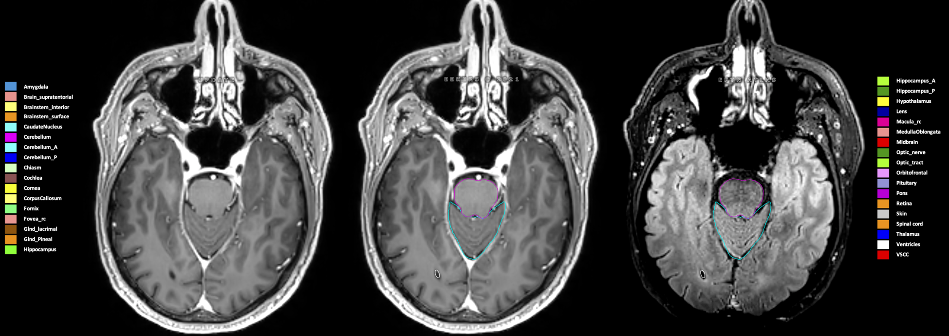
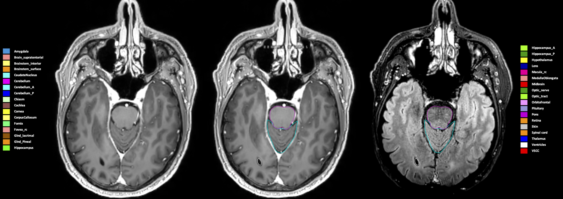
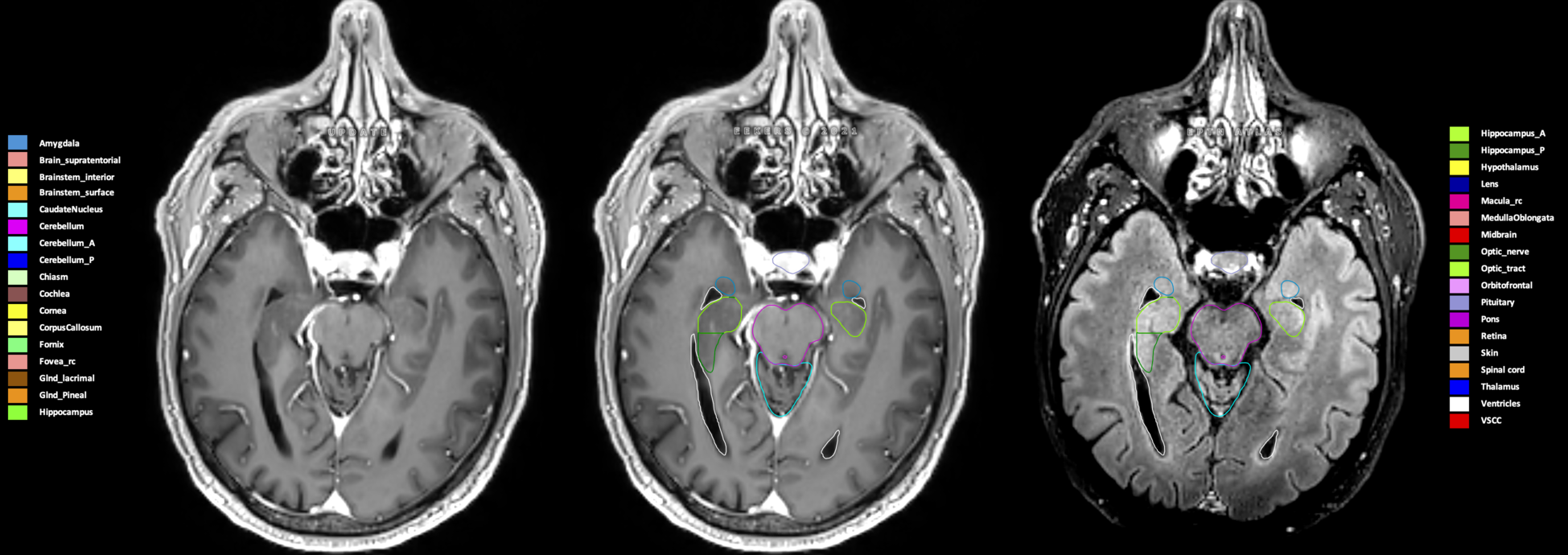
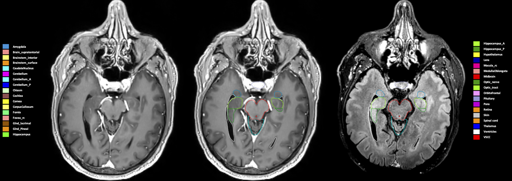
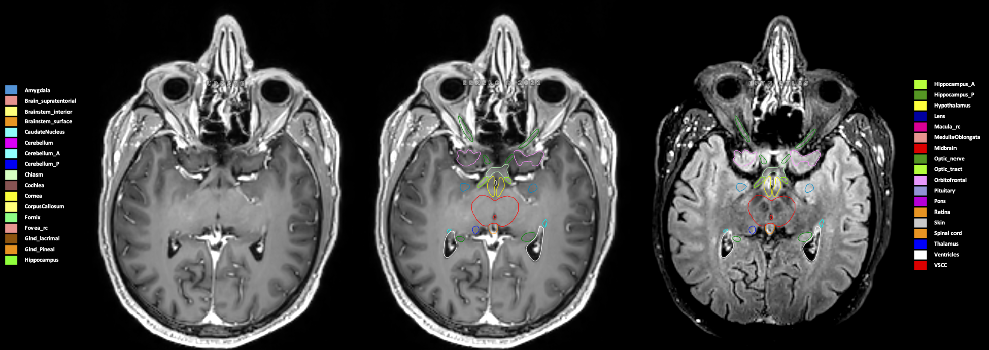
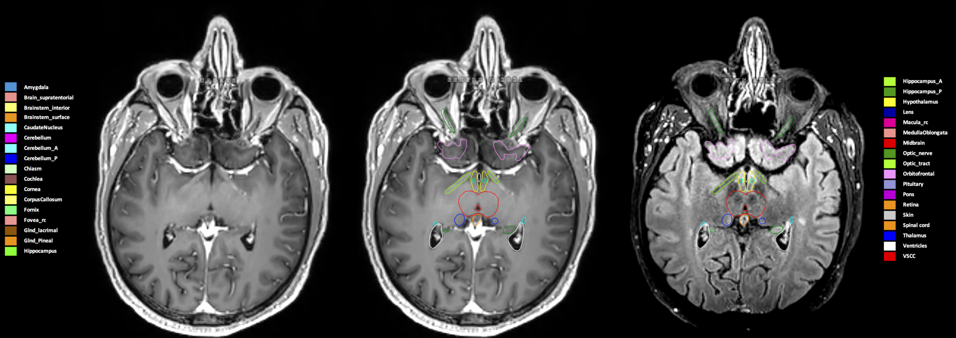
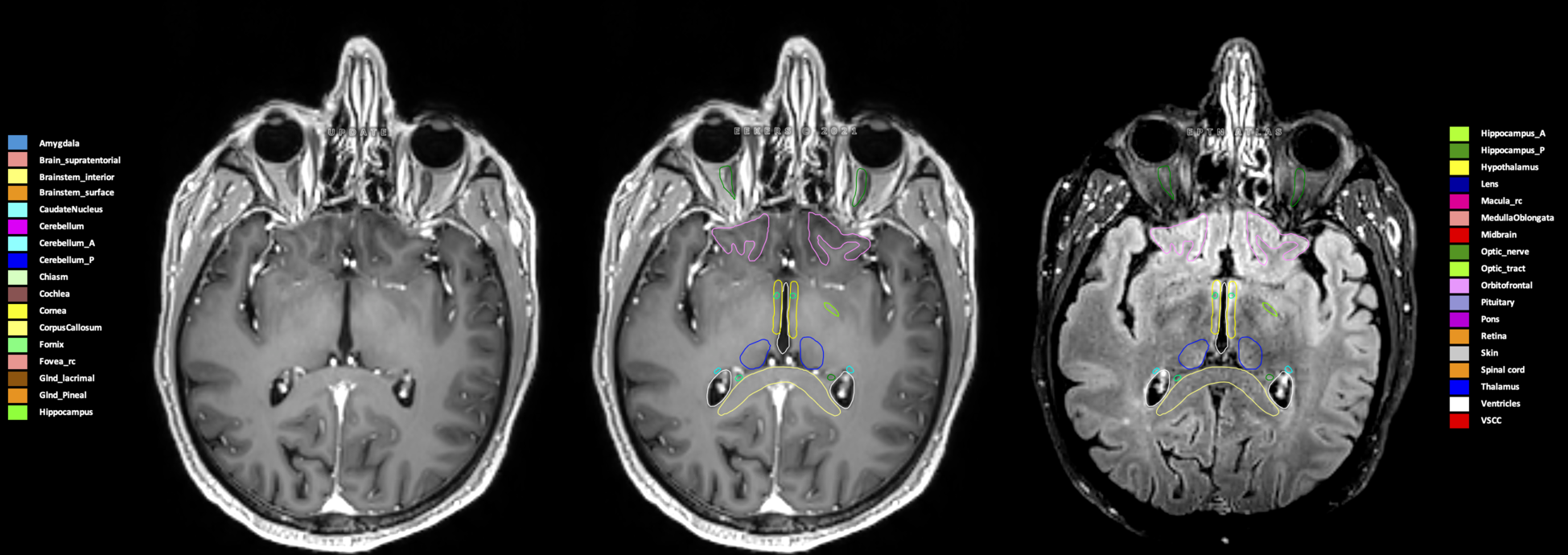
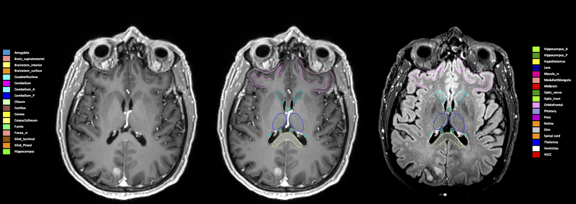
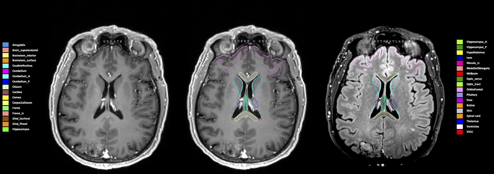
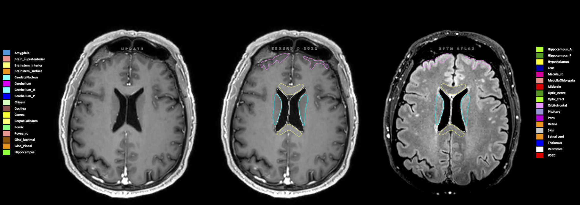
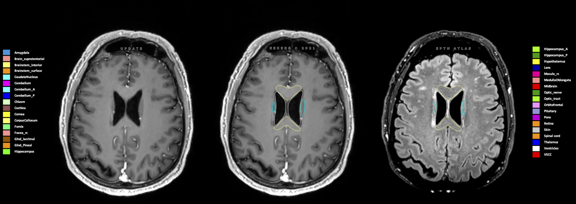
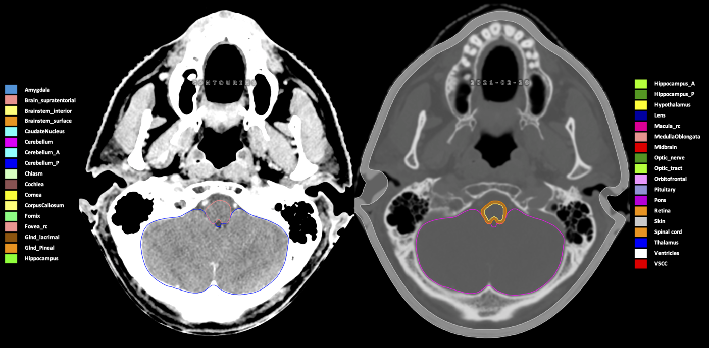
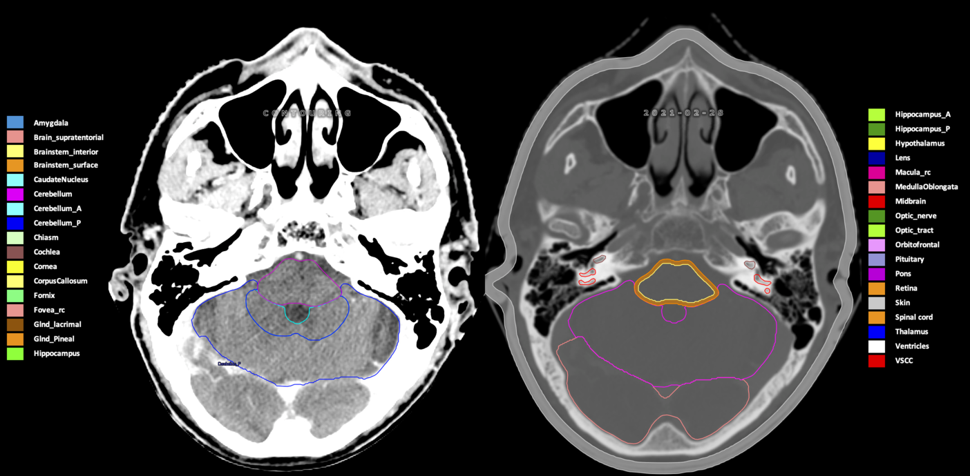
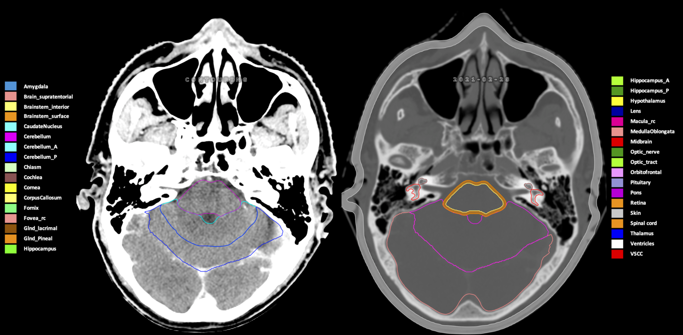
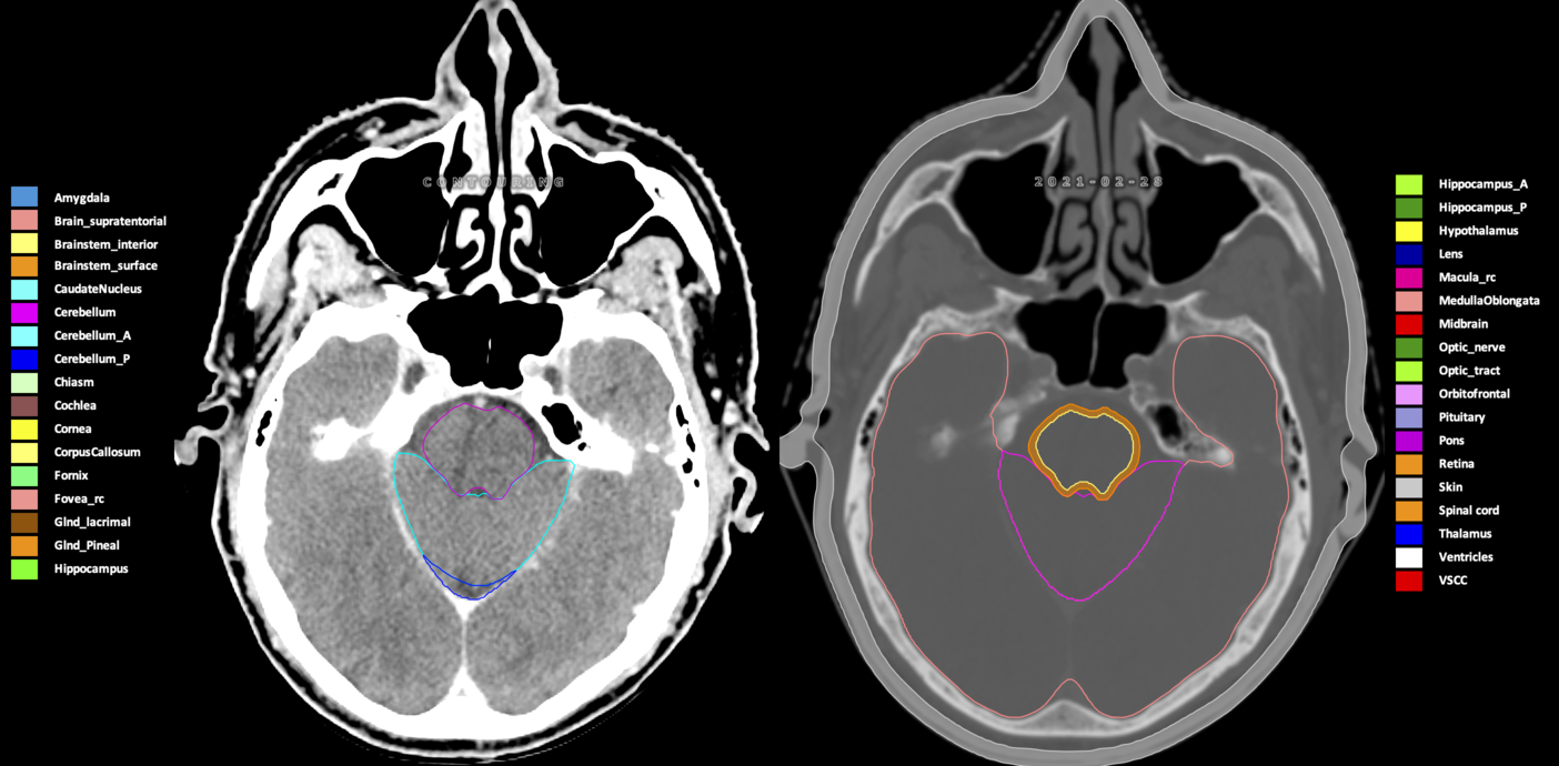
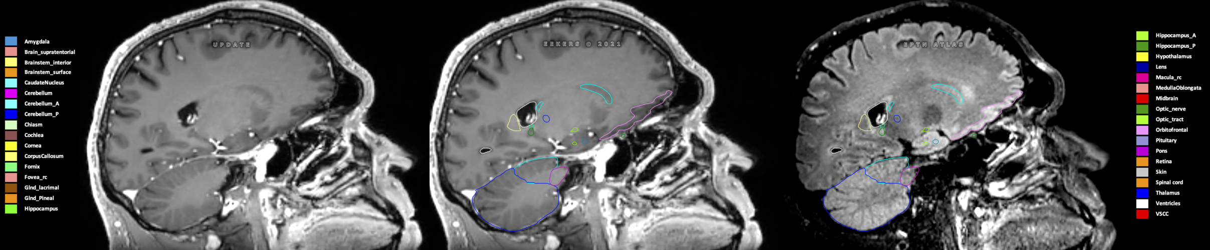
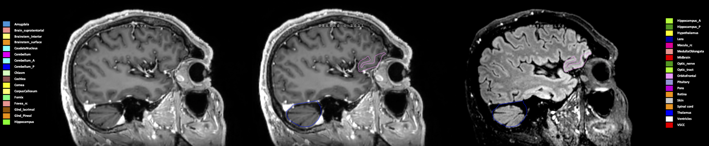
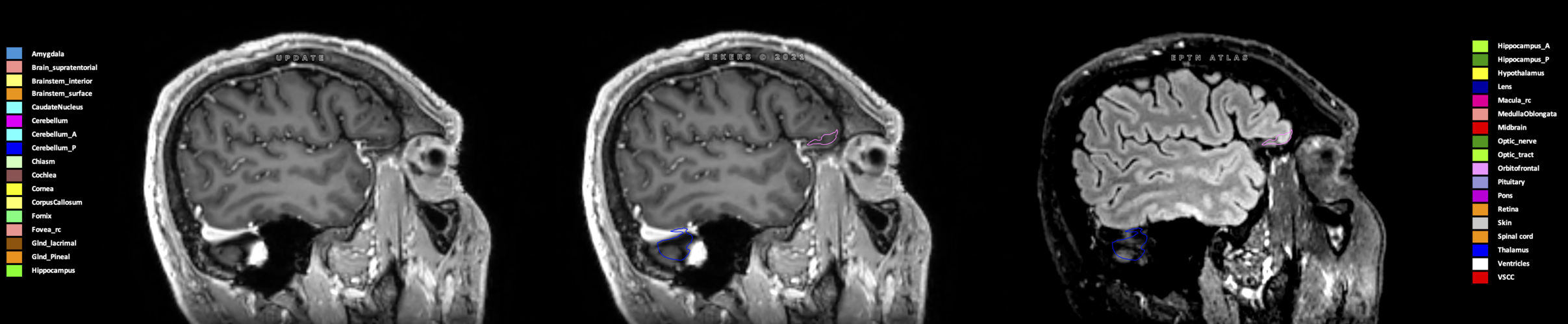
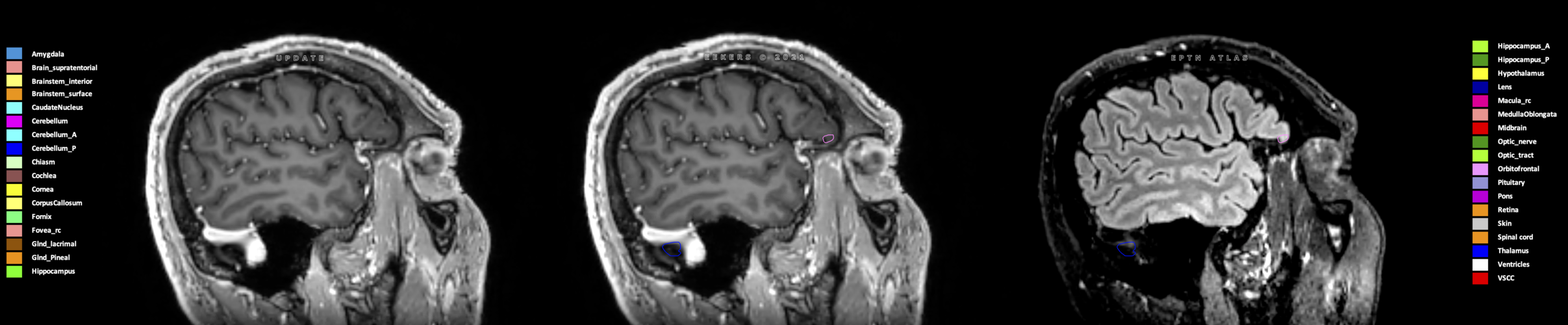
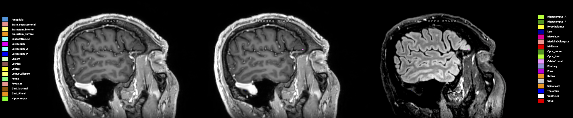
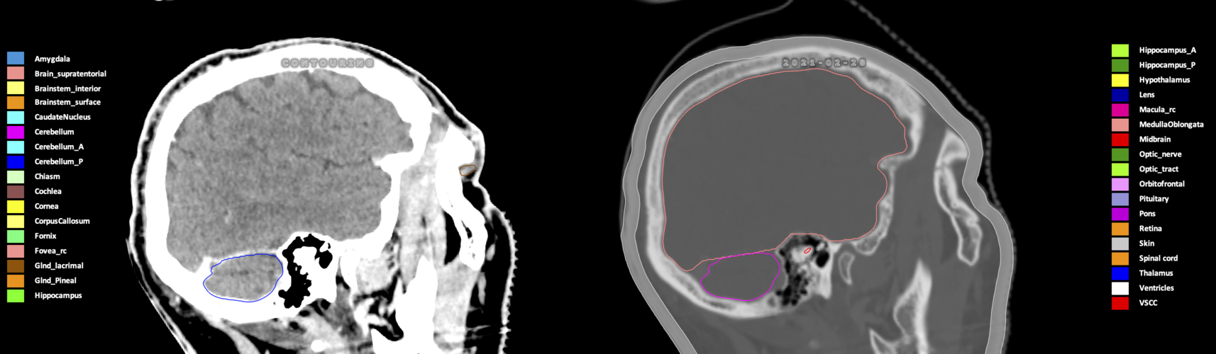
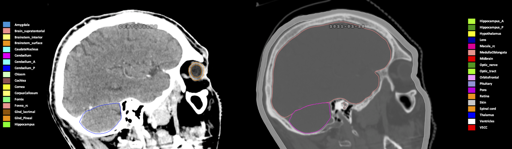
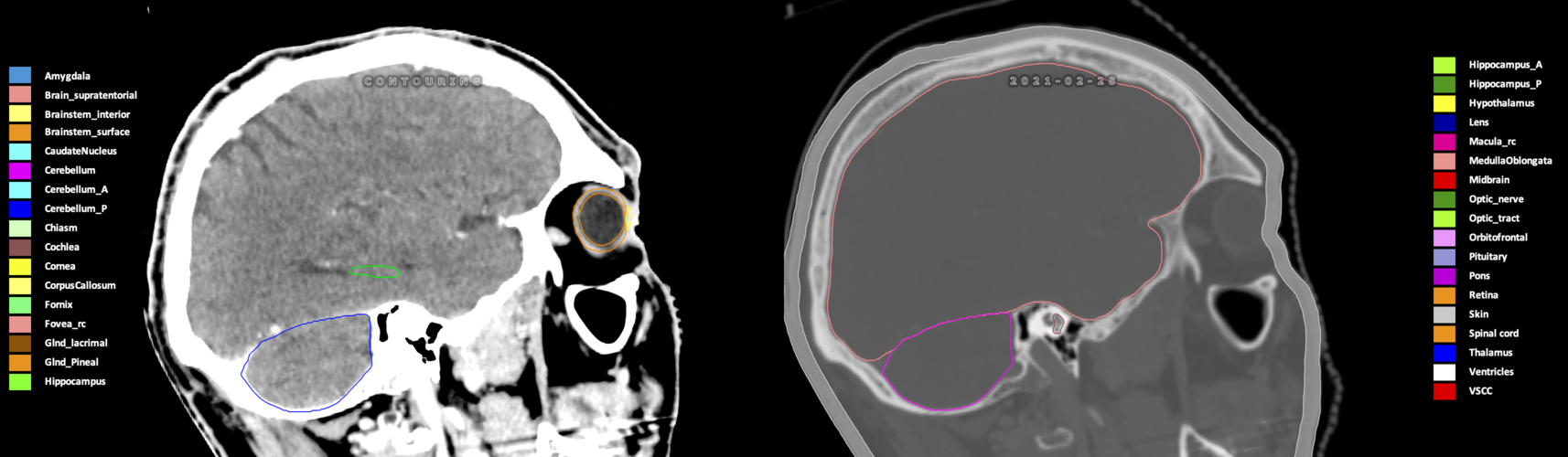
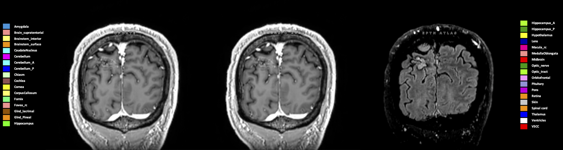
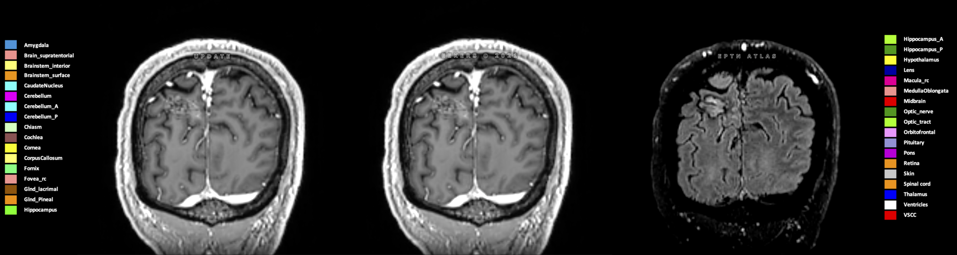
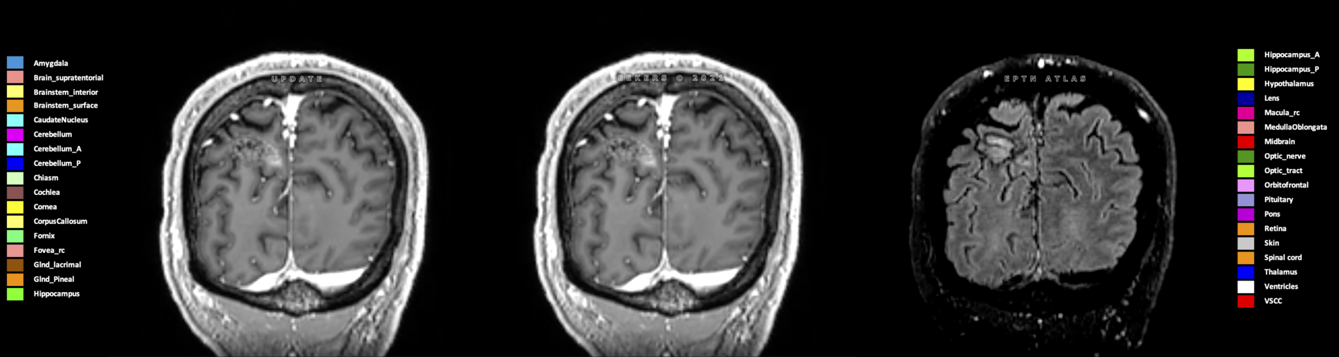
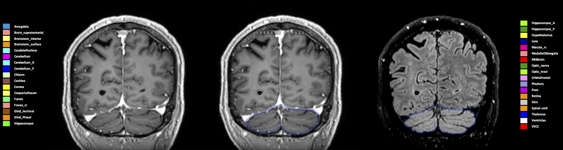
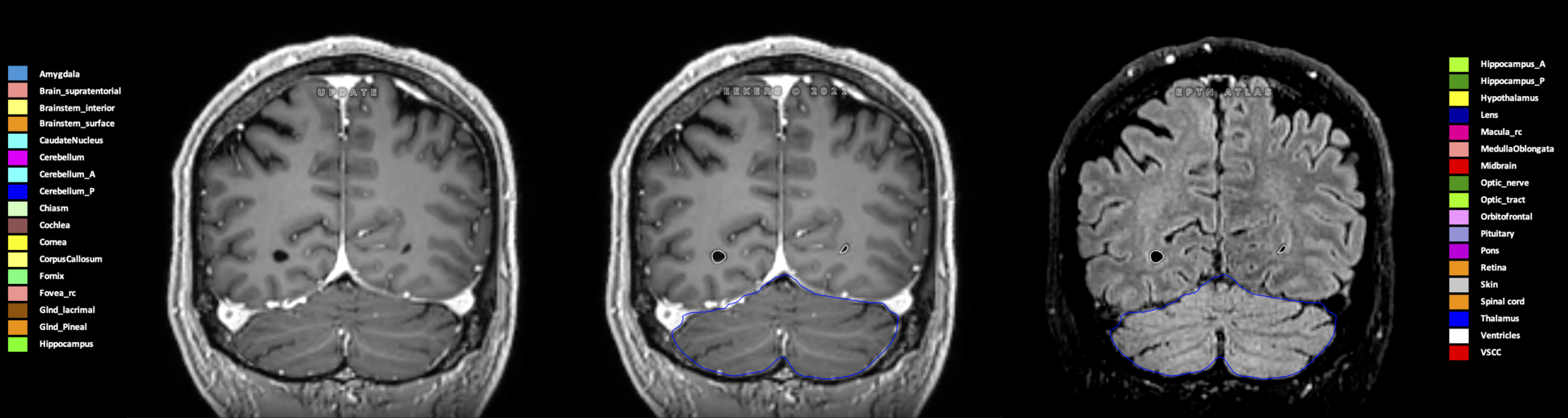
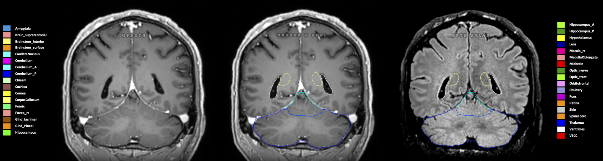
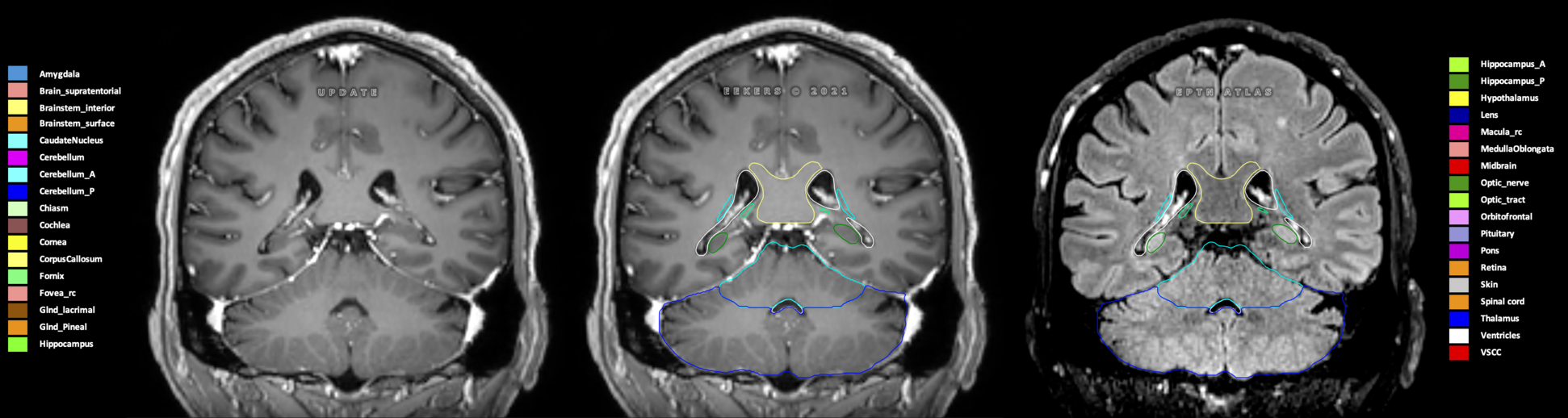
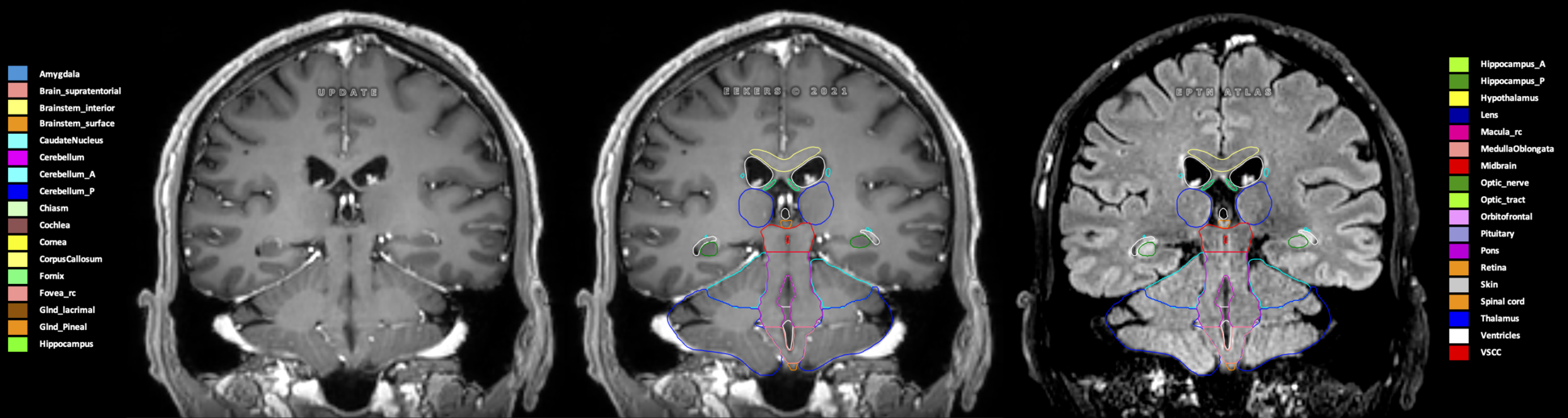
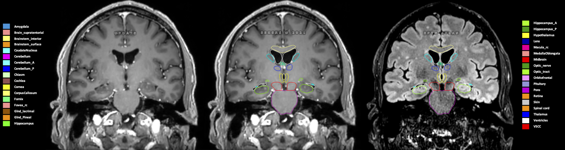
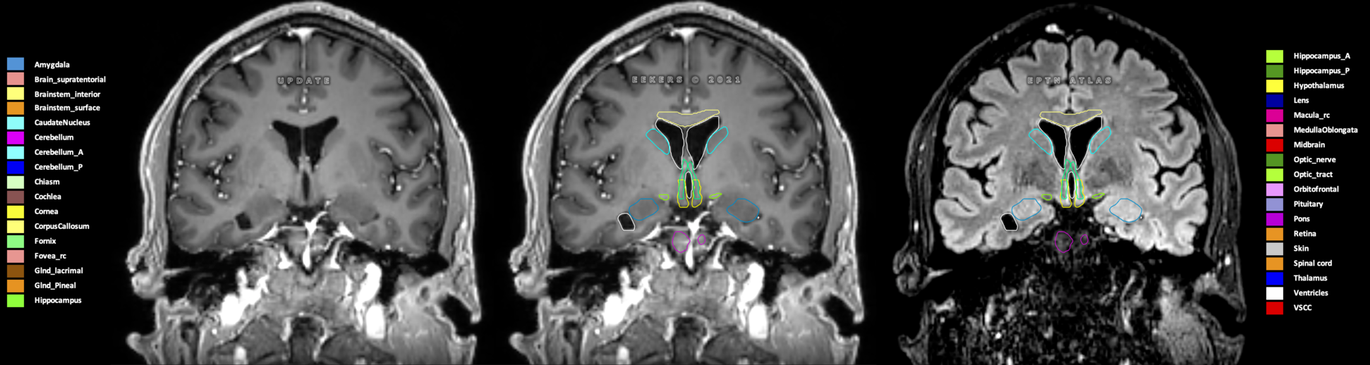
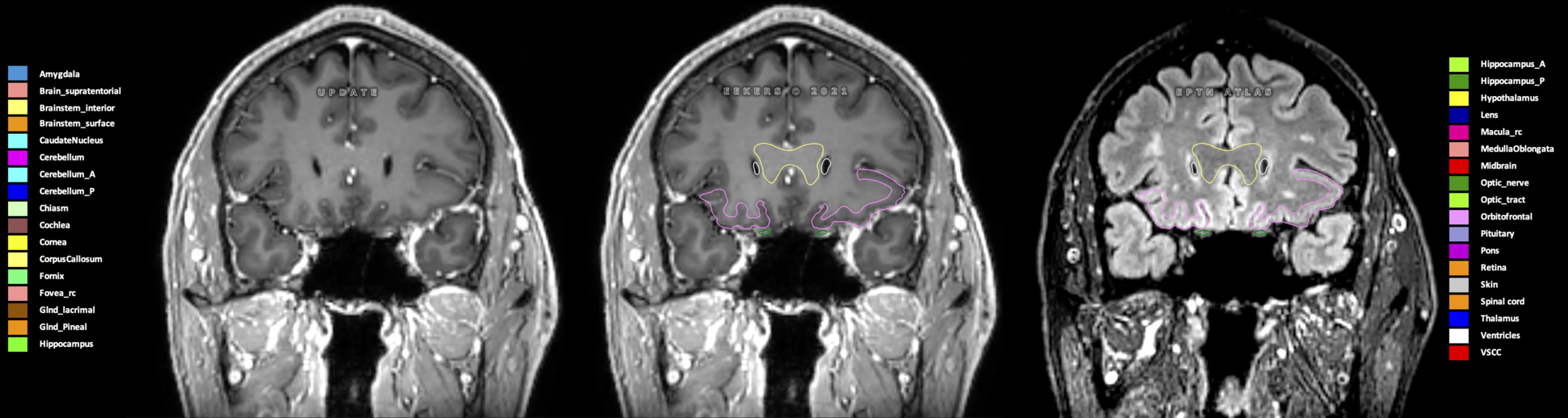
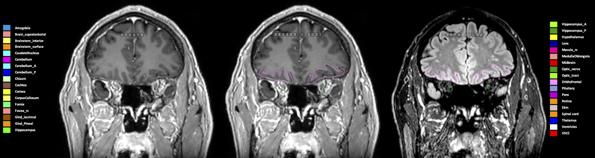
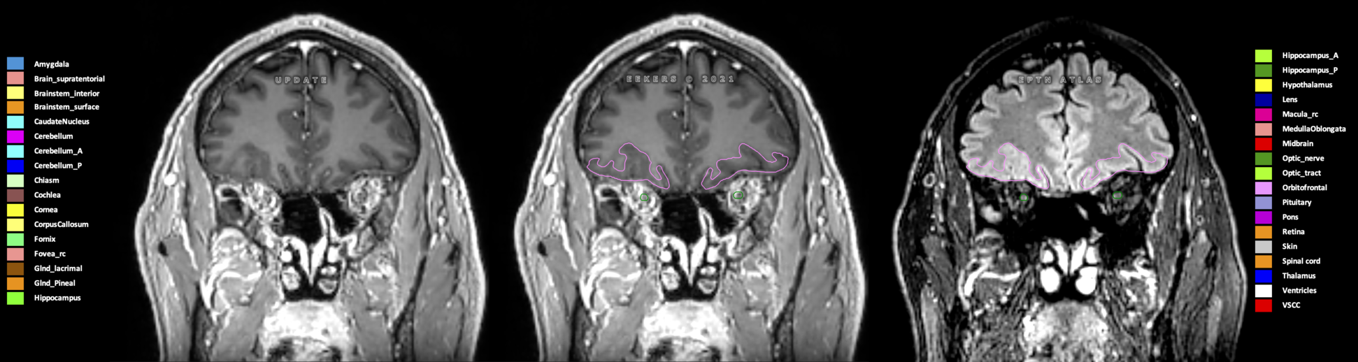
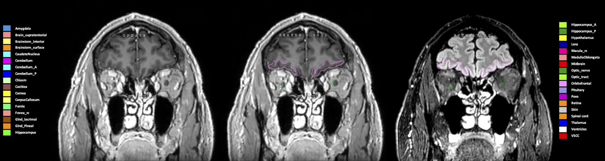
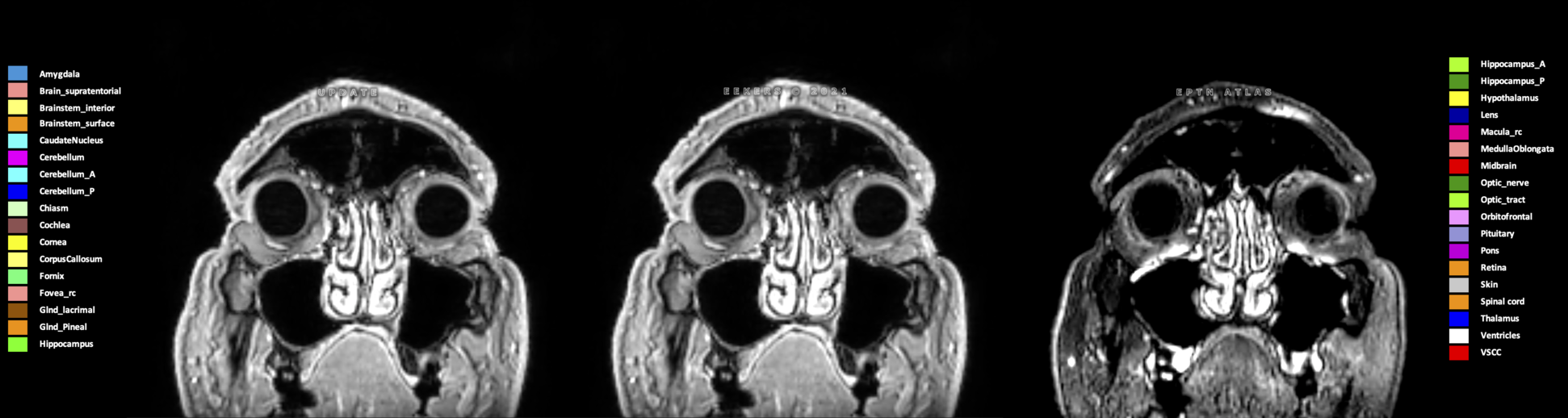
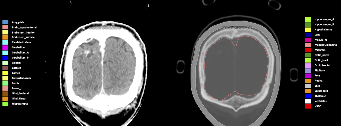
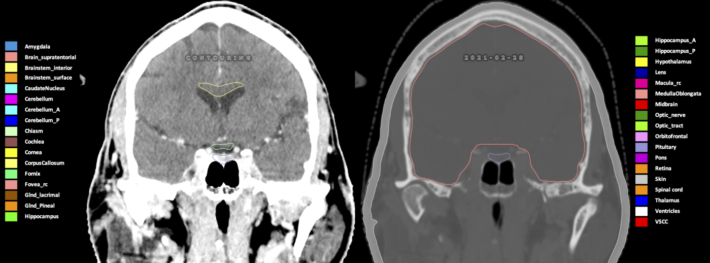
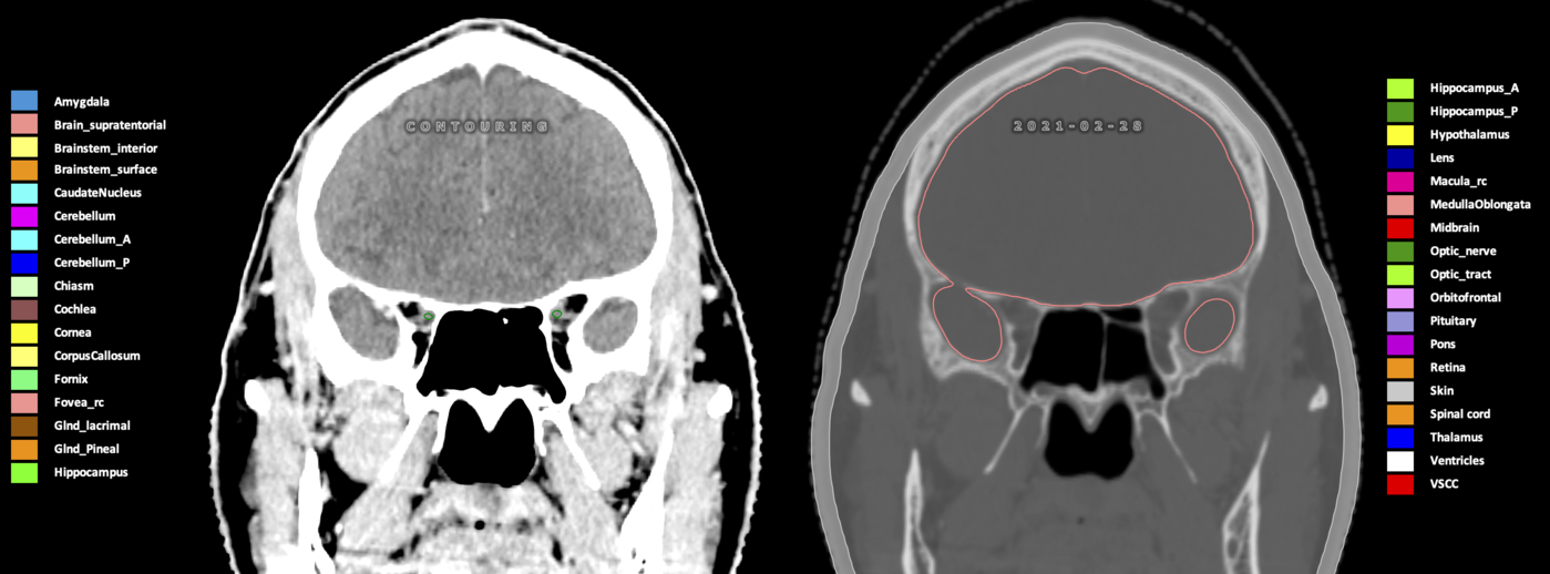
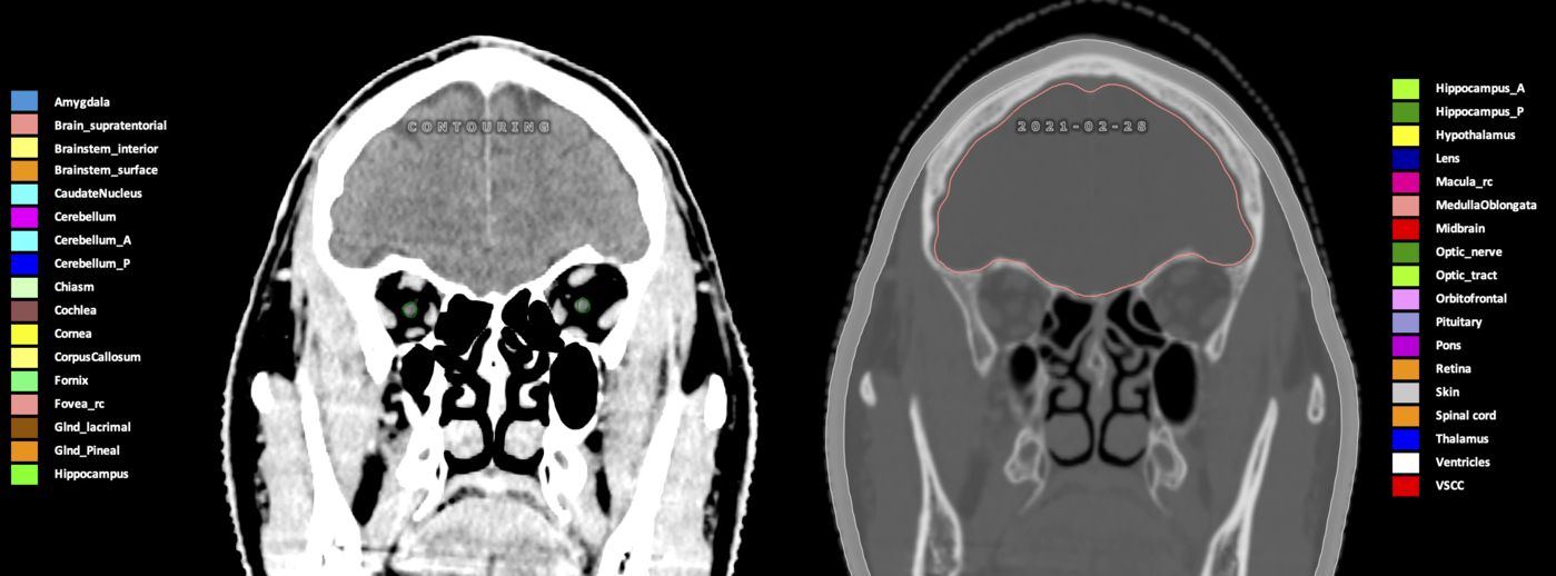
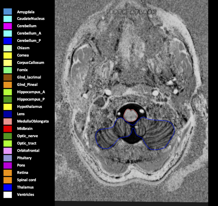
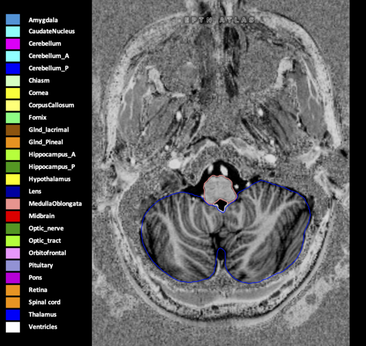
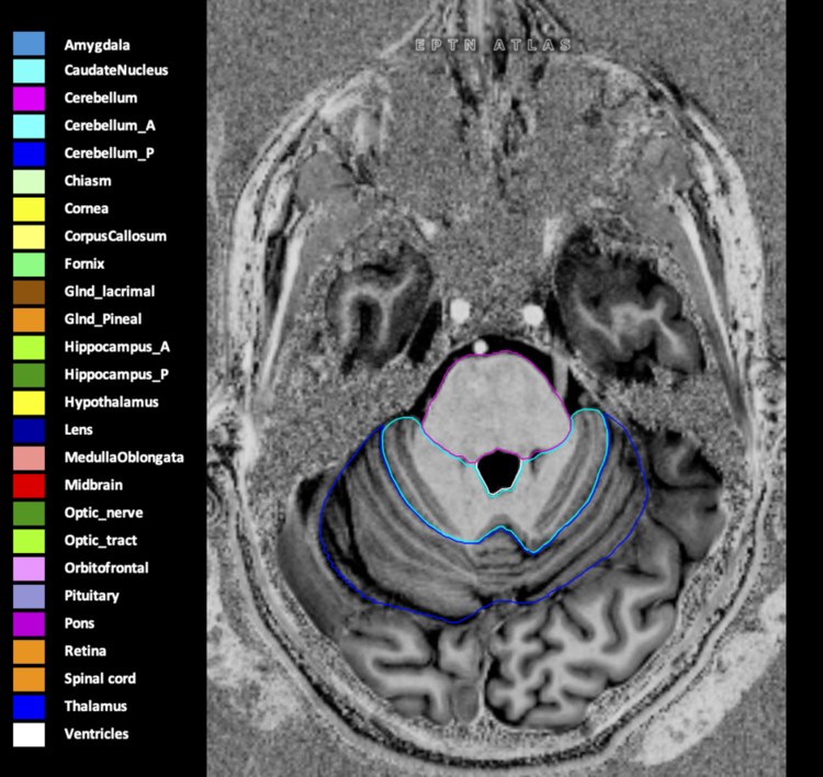
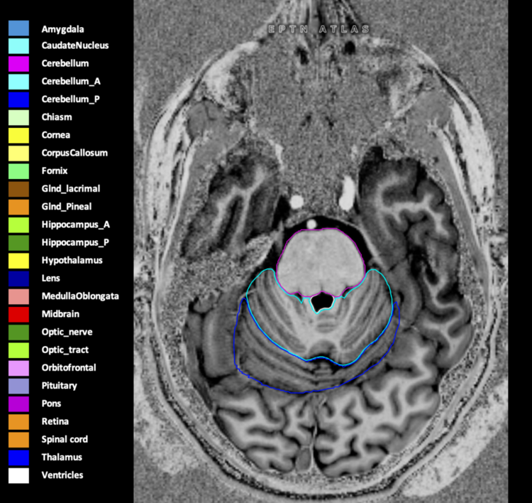
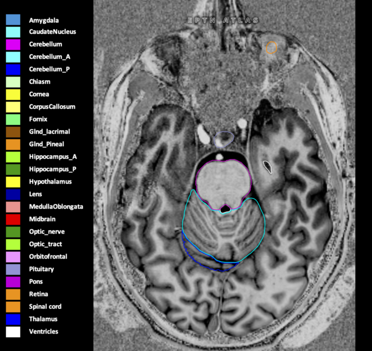
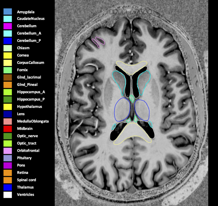
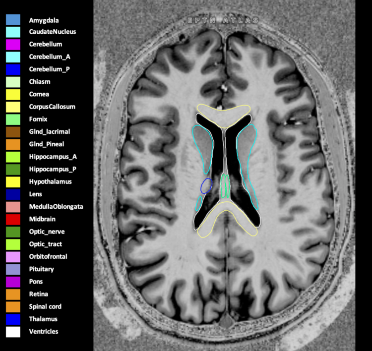
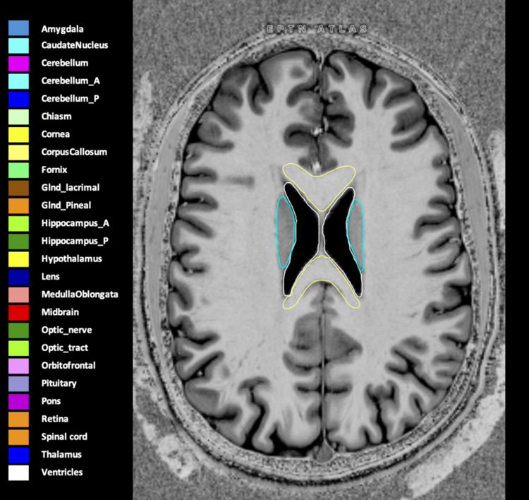
Eekers et al. have published an international neurological atlas for contouring of organs at risk in consensus with the European Particle Therapy Network (EPTN) in 2018 and an update in 2021. The purpose of this consensus atlas is to decrease inter- and intra-observer variability in delineating OARs relevant for neuro-oncology.
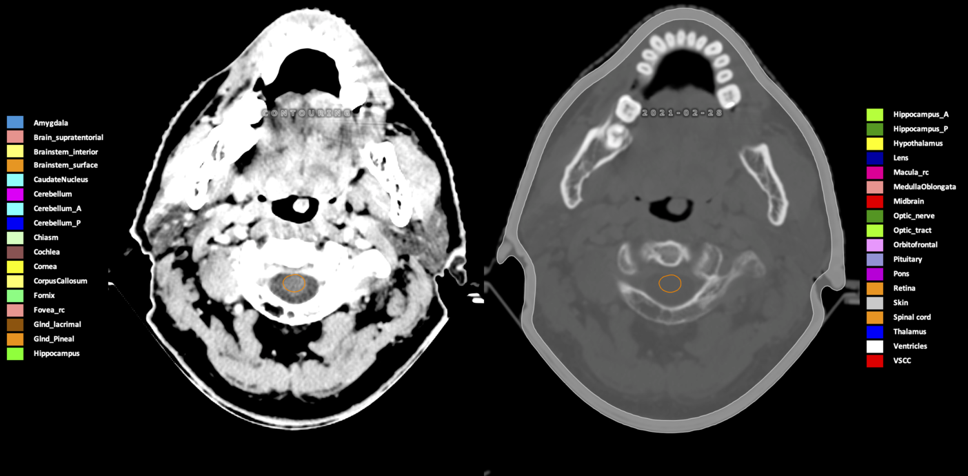
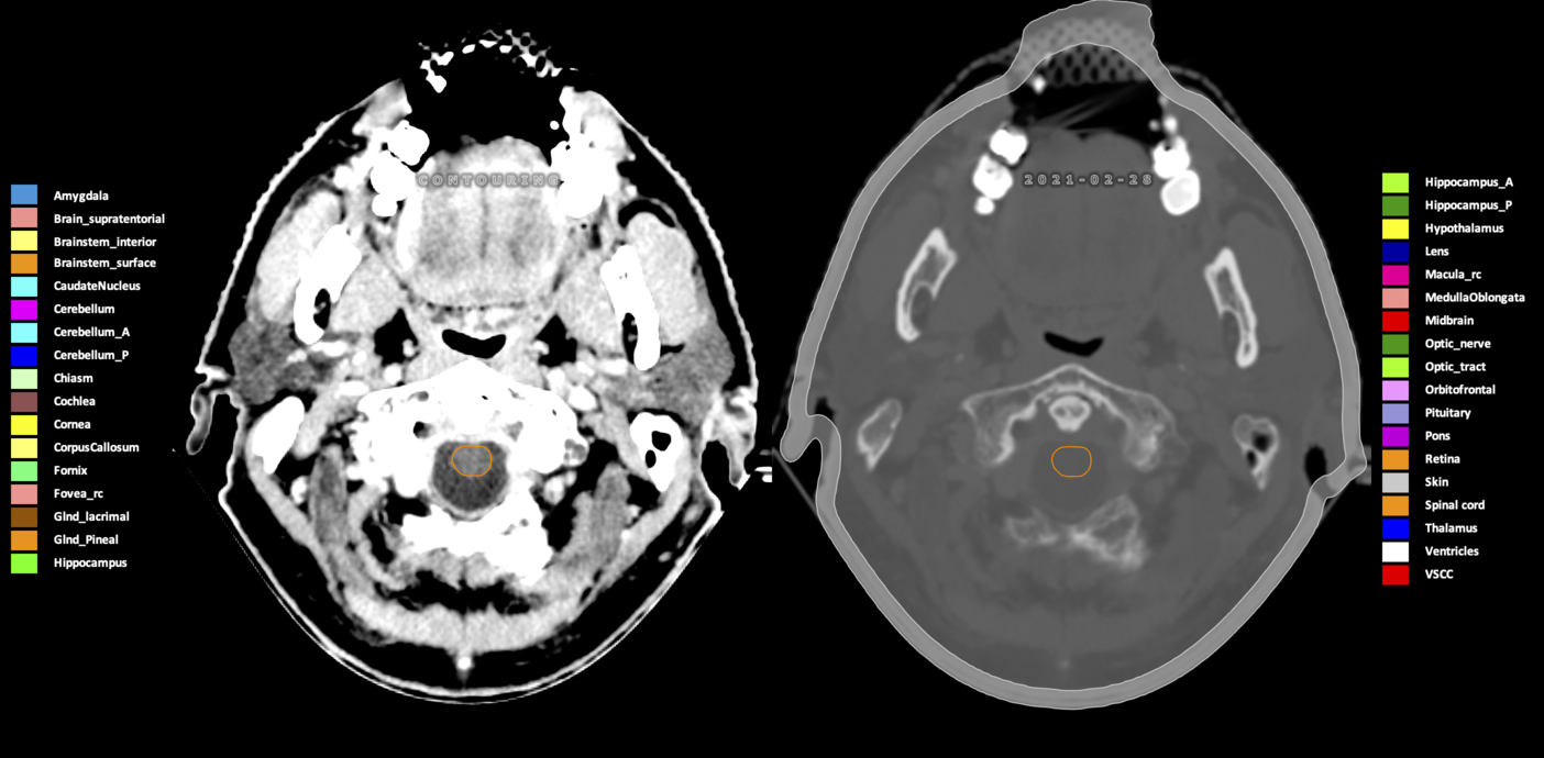
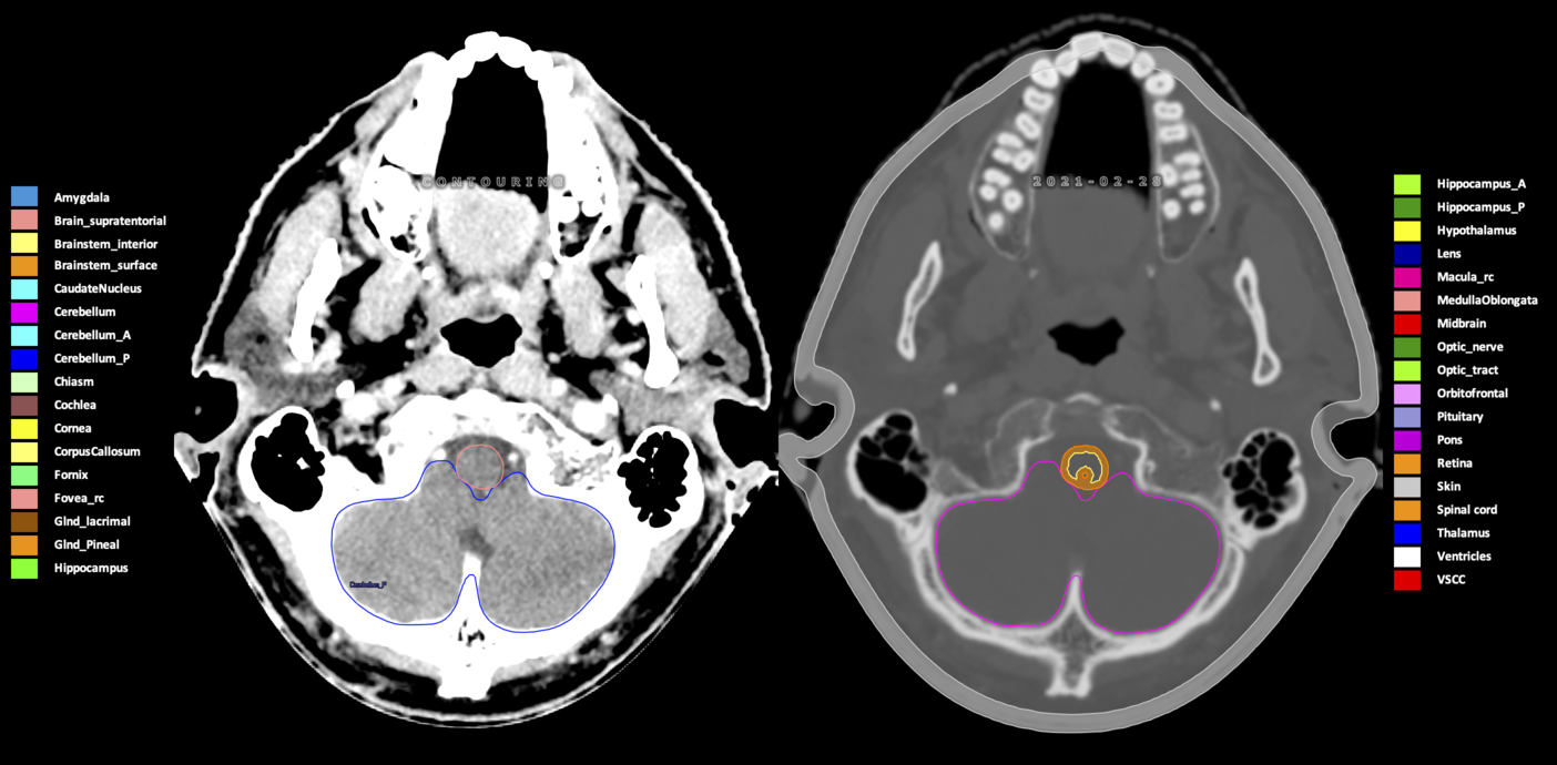
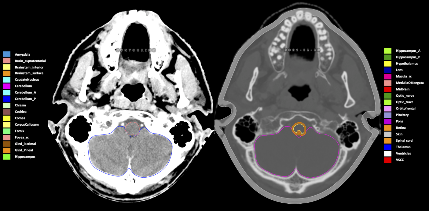
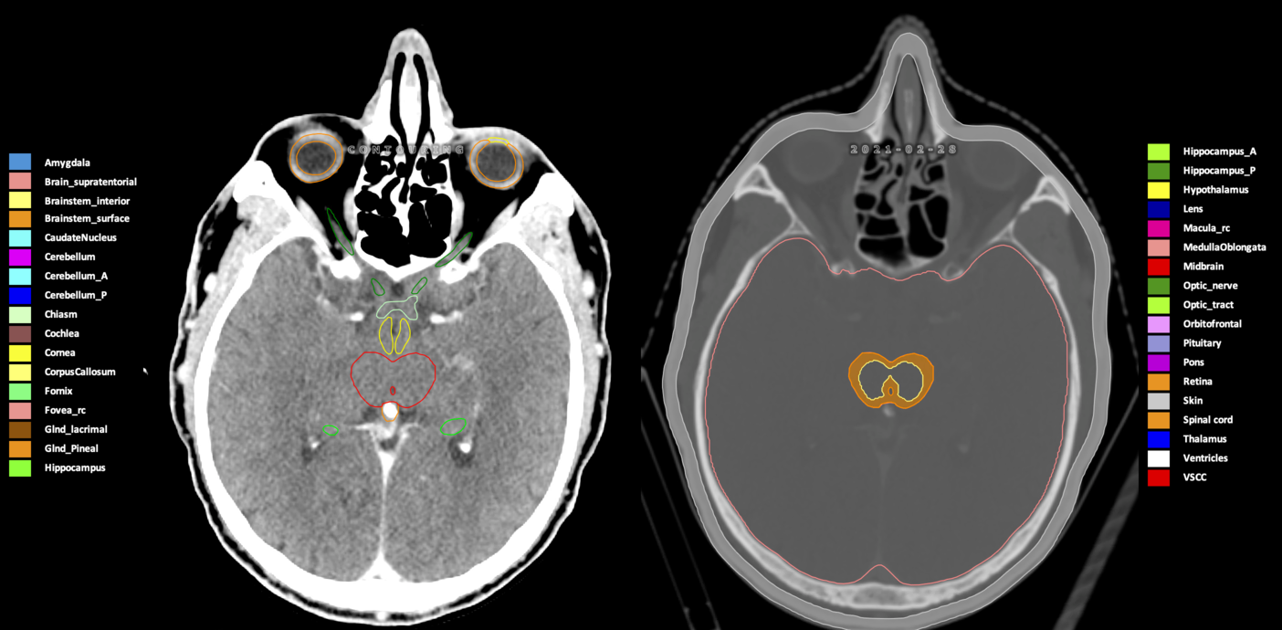
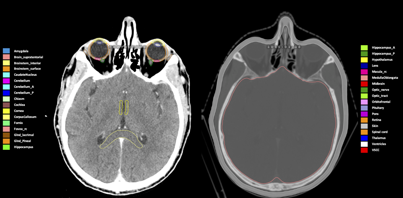
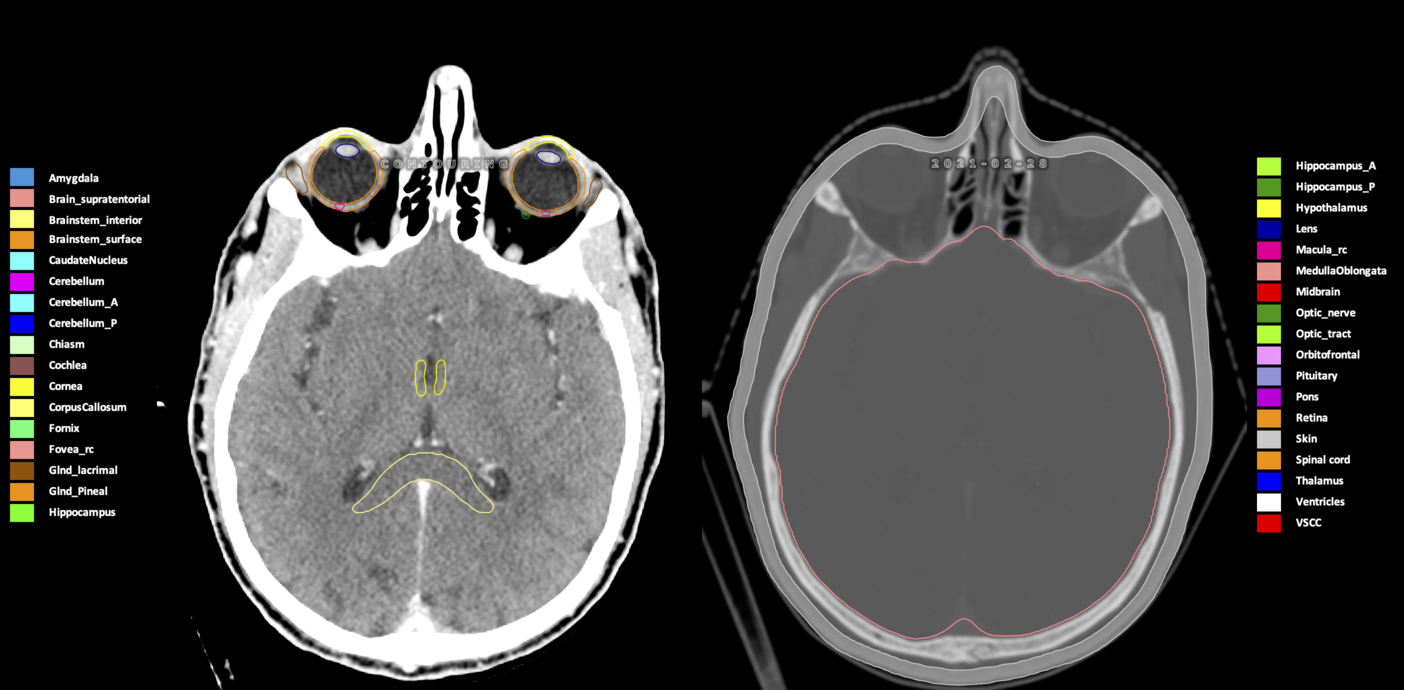
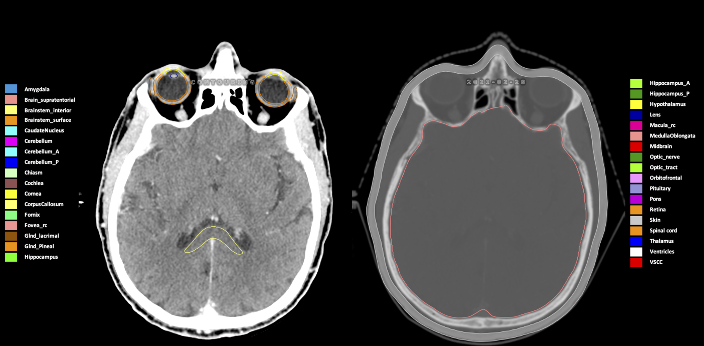
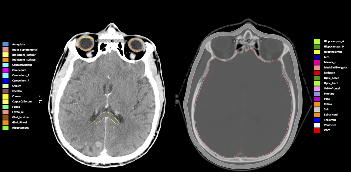
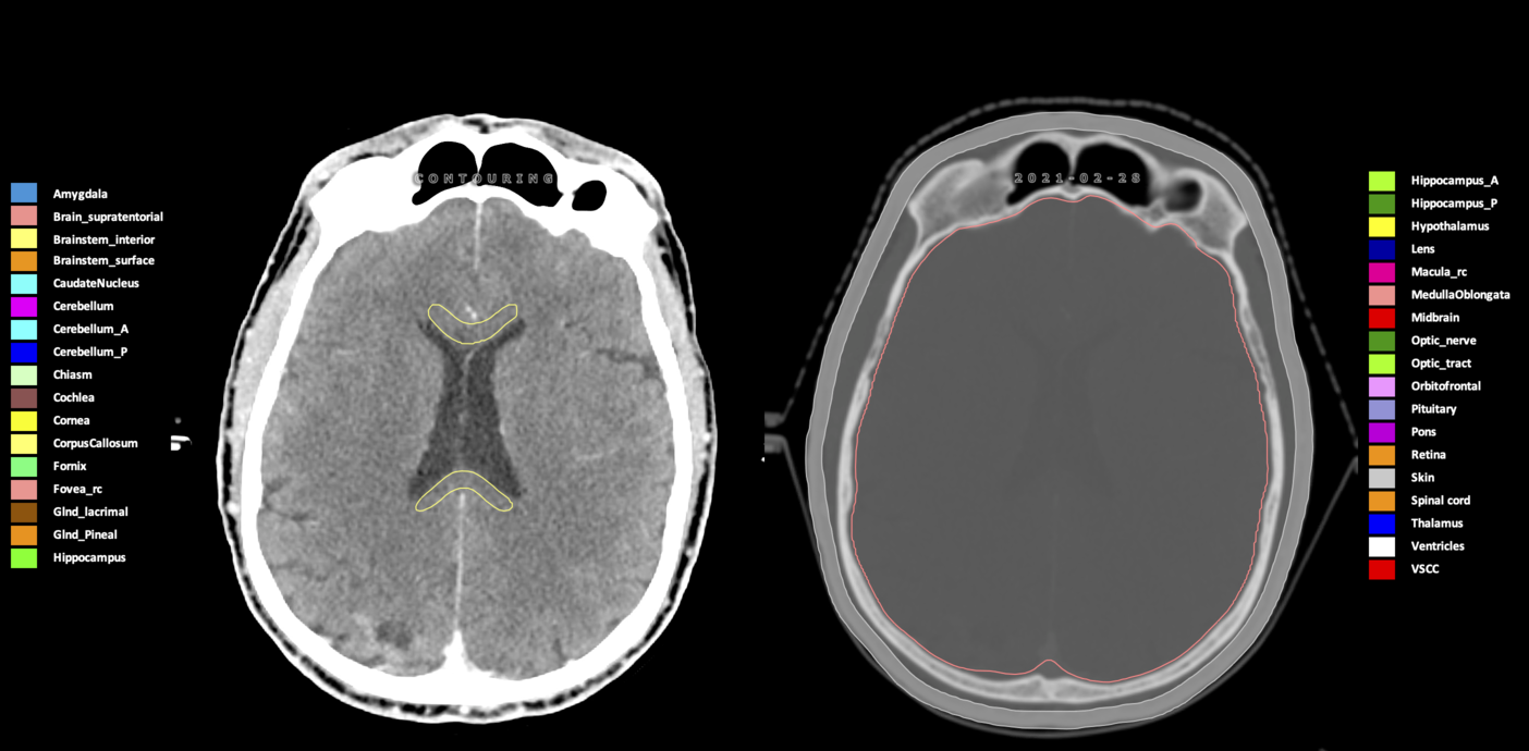
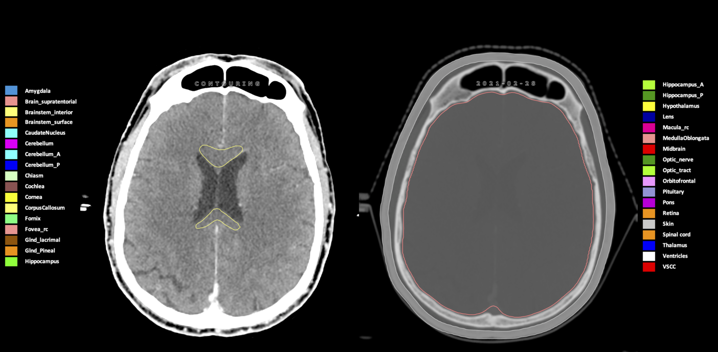
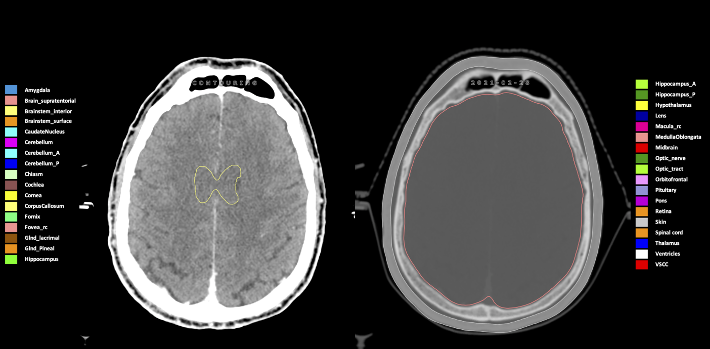
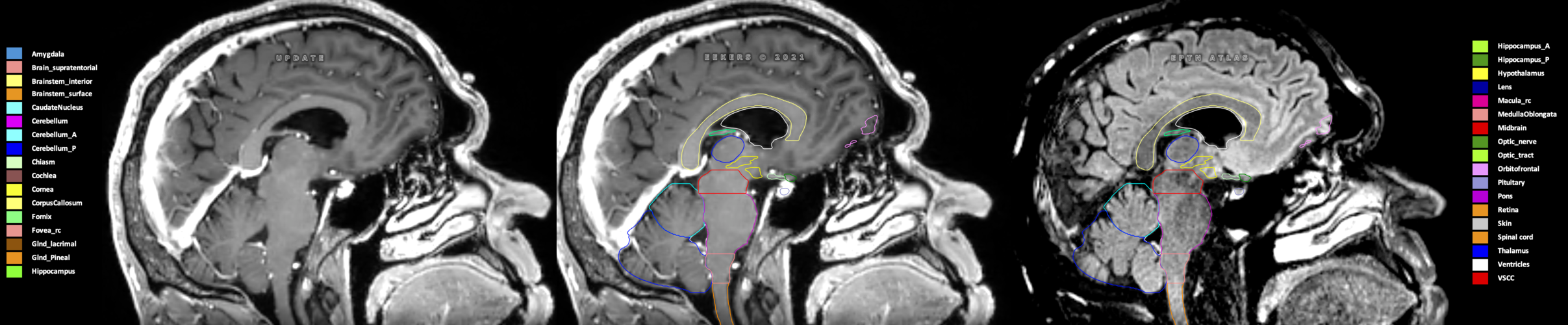
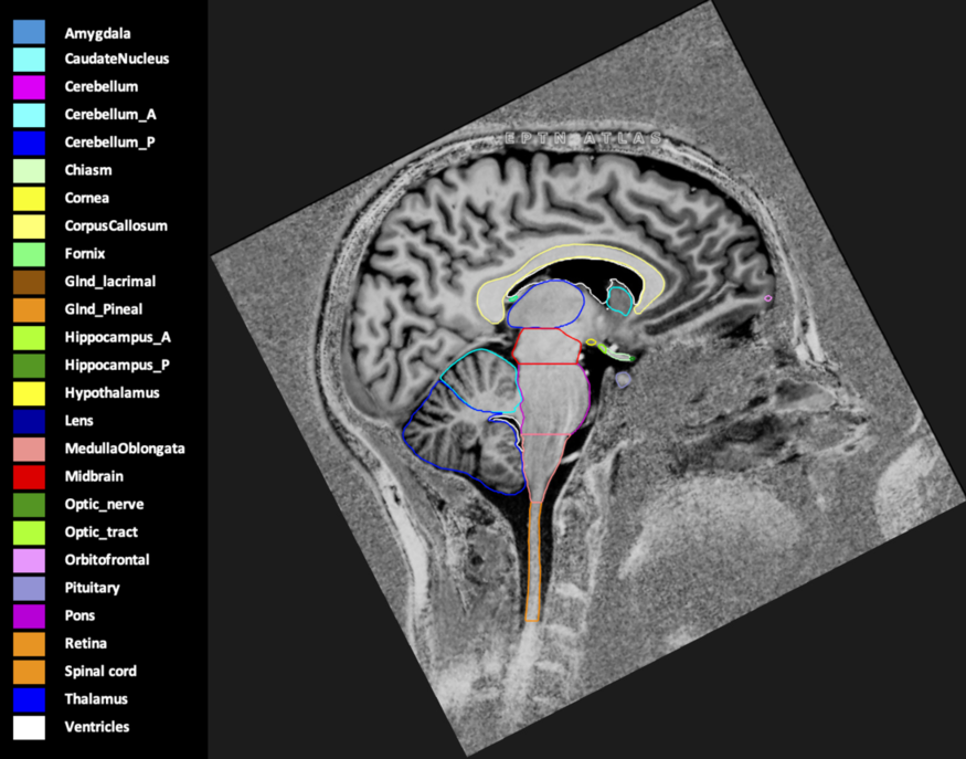
Included are all OARs known to be relevant for radiation-induced toxicity in neuro-oncology: brain, brainstem (midbrain, pons, medulla oblongata), chiasm, cerebellum (anterior & posterior), cochlea, cornea, hippocampus (anterior & posterior), hypothalamus, lens, lacrimal gland, optic nerve, pituitary, skin, and vestibular & semicircular canals. To further facilitate research on cognition, vision and radiological changes after irradiation of the brain, potential clinically-relevant OARs are included: amygdala, caudate nucleus, cerebellum (anterior & posterior), corpus callosum, fornix, macula, optic tract, orbitofrontal cortex, periventricular space (PVS), pineal gland, and thalamus.
We propose this atlas is used in photon and particle therapy in order to derive consistent dosimetric data. When required this atlas will be updated according to new insights.
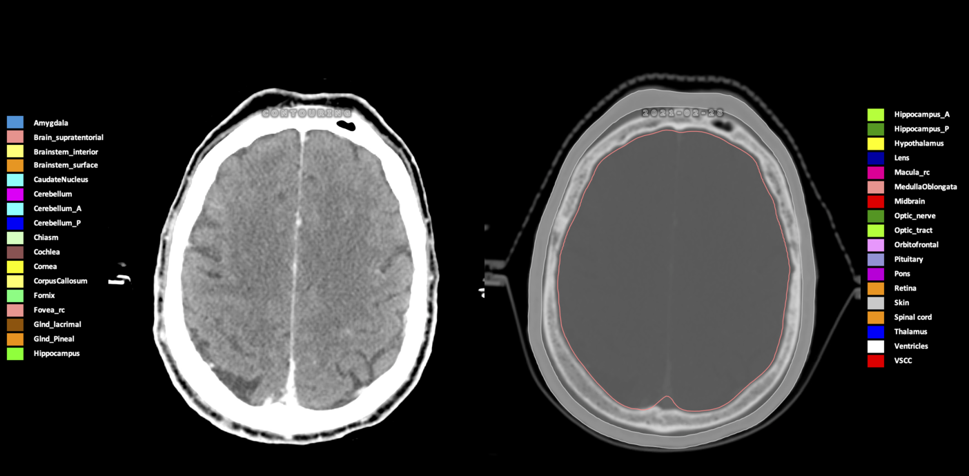
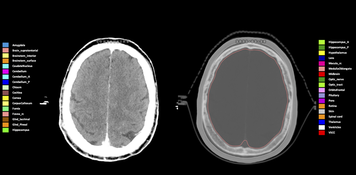
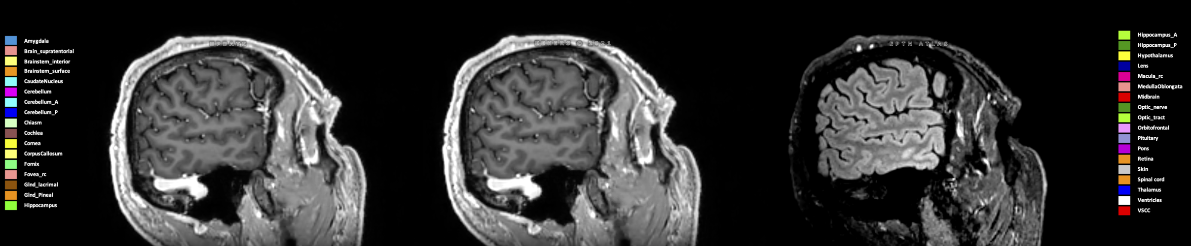
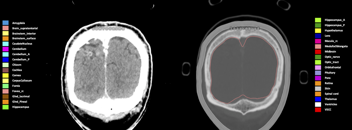
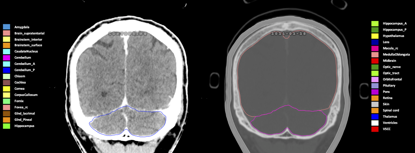
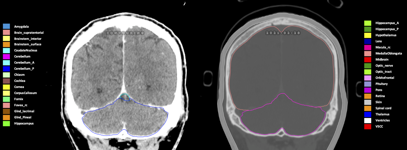
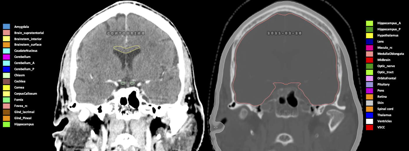
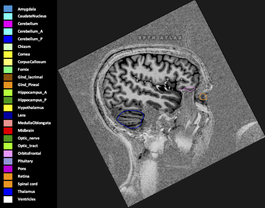
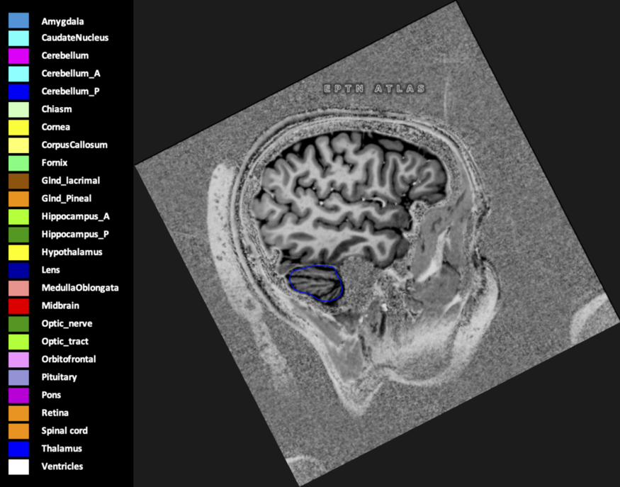
Three-dimensional delineation of the 25 consensus OARs for neuro-oncology are shown on CT (WW/WL 120/40, 3000/600), 3T MR images, (T1Gd, T2FLAIR 1mm) and 7T MR (MP2RAGE 0.7 mm). All are presented in transversal, sagittal and coronal view.
Please cite this Atlas as follows:
Eekers D, Di Perri D, Roelofs E, Postma A, Troost EG. EPTN International Neurological Contouring Atlas - 2021 Update CancerData, 2021. doi:10.17195/candat.2021.02.1
CancerData.org 














































































































































































































































































































































































































































































































































































































































































































































































































































































































































































































































































































































































































































































































































































































































































































































































































































































































































































